Стоматологи помогли мальчику, который случайно воткнул стержень ручки в зуб

Врачам-стоматологам удалось помочь мальчику, который случайно воткнул стержень от ручки в зуб. Как сообщили в Новочебоксарской стоматологической поликлинике, поврежденный зуб пришлось удалить, к счастью, так как он был молочным.
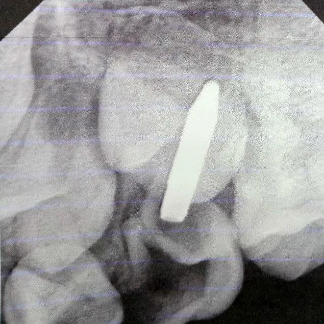
На прием к стоматологу-хирургу Алексею Аверьянову восьмилетний Миша пришел с мамой. Мальчик играл дома и начал ковырять зуб ручкой. В какой-то момент ручка сломалась, и наконечник стержня застрял в зубе.
После осмотра и рентгеновского исследования врачи решили удалить поврежденный молочный зуб и извлечь инородный предмет через отверстие зуба.
Операция прошла успешно, специалистам удалось сохранить зачаток 15-го постоянного зуба. Мальчик пообещал больше не проводить подобные эксперименты.
Автор: Елизавета Петрова